症例写真

二重・目メニュー

目元の若返りメニュー

二重・目

二重埋没「R-MT法」

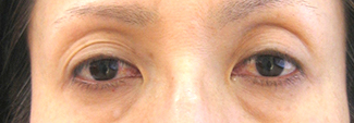
処置前

処置前

処置後2ヶ月目

処置後2ヶ月目

治療名 二重埋没「R-MT法」
性別・年齢 女性
治療内容 自然な幅で末広型希望
リスク 数日間の内出血・むくみ
費用 ¥120,000(税込 ¥132,000)
経過を見る
  • 処置直後処置直後
  • 処置後1ヶ月目処置後1ヶ月目
  • 処置後2ヶ月目処置後2ヶ月目
処置前

処置前

処置後1ヶ月目

処置後1ヶ月目

治療名 二重埋没「R-MT法」
性別・年齢 女性
治療内容 自然な二重希望
リスク 数日間の内出血・むくみ
費用 ¥120,000(税込 ¥132,000)
経過を見る
  • 処置直後処置直後
  • 処置後4日目処置後4日目
  • 処置後1ヶ月目処置後1ヶ月目
処置直後

処置直後

処置後5日目

処置後5日目

治療名 二重埋没「R-MT法」
性別・年齢 女性 10代
治療内容 自然な末広型希望
リスク 数日間の内出血・むくみ
費用 ¥120,000(税込 ¥132,000)
経過を見る
  • 処置直後処置直後
  • 処置後5日目処置後5日目
処置前

処置前

ADB処置後5日目

ADB処置後5日目

治療名 二重埋没「R-MT法」
性別・年齢 女性
治療内容 平行型希望のため少し広めで処置
リスク 数日間の内出血・むくみ
費用 ¥120,000(税込 ¥132,000)
経過を見る
  • 処置直後処置直後
  • 処置後5日目処置後5日目

二重切開「VOGUE法」

VOGUE処置前

VOGUE処置前

VOGUE処置後1ヶ月目

VOGUE処置後1ヶ月目

治療名 二重切開「VOGUE法」
性別・年齢 女性
治療内容 自然な幅で末広型希望
リスク 数日間の内出血・むくみ
費用 ¥400,000(税込 ¥440,000)
経過を見る
  • 処置直後処置直後
  • 処置後7日目処置後7日目
  • 処置後1ヶ月処置後1ヶ月
切開処置前

切開処置前

処置後1ヶ月目

処置後1ヶ月目

治療名 二重切開「VOGUE法」
性別・年齢 女性
治療内容 自然な幅で末広型希望
リスク 数日間の内出血・むくみ
費用 ¥400,000(税込 ¥440,000)
経過を見る
  • 切開処置前切開処置前
  • 処置後7日目処置後7日目
  • 処置後1ヶ月処置後1ヶ月

目頭切開

AC処置前

AC処置前

AC処置後1ヶ月目

AC処置後1ヶ月目

治療名 目頭切開
性別・年齢 女性
治療内容 自然な幅で末広型希望
リスク 数日間の内出血・むくみ
費用 ¥120,000(税込 ¥132,000)
経過を見る
  • AC処置後AC処置後
  • AC処置後7日目AC処置後7日目

目元の若返り

FGF組織再生療法(くぼみ目)

注入前

注入前

bFGFくぼみ目、鼻唇溝、目の下注入後2ヶ月後

bFGFくぼみ目、鼻唇溝、目の下注入後2ヶ月後

治療名 組織再生療法FGF注入
性別・年齢 女性
治療内容 くぼみ目、目の下、ほうれい線
リスク 浮腫・内出血
費用 ¥230,000(税込 ¥253,000)
経過を見る
  • 注入前2注入前
  • 注入前3注入前
  • 処置後1ヶ月目処置後1ヶ月目
  • 処置後1ヶ月目処置後1ヶ月目
  • 処置後2ヶ月目処置後2ヶ月目
二重・目の整形
目元の若返り治療
顔の若返り
鼻治療
輪郭形成術
美肌・スキンケア治療
痩身治療
ワキガ・多汗症治療
ドクターズコスメ
「中の人」コラム
page up